编者按:慢性移植物抗宿主病(cGVHD)指异基因造血干细胞移植(allo-HSCT)后,受者在重建供者免疫的过程中,来源于供者的淋巴细胞攻击受者脏器产生的临床病理综合征(包括经典型cGVHD和重叠综合征),是移植后主要并发症之一,发生率为30%~70%。cGVHD发生机制复杂,临床表现多样,个体差异大,病程迁延持久,如不规范诊治,轻则影响患者生活质量,重则影响远期生存。随着指南的推出,目前针对cGVHD的诊断标准和一线治疗方案已有规范可循,但二线治疗方案仍没有统一的共识。PI3Kδ抑制剂通过抑制PI3Kδ酶的活性,干扰淋巴细胞的增殖和生存而抑制肿瘤的生长,不仅为非霍奇金淋巴瘤带来了新的治疗药物和方案,还在GVHD的治疗中表现出治疗潜力。在近期举办的第50届欧洲血液与骨髓移植学会(EBMT)年会上,陆军军医大学附属第二医院一项基础研究入选了大会口头汇报(摘要号:OS7-05)[1],呈现了PI3Kδ抑制剂在cGVHD治疗方面的活性。血液时讯特邀陆军军医大学附属第二医院(新桥医院)宋清晓教授对该研究进行解读和点评,以飨读者。
传统激素治疗获益有限,cGVHD亟需新的治疗突破
cGVHD是allo-HSCT后患者面临的一项重大挑战,它不仅严重影响患者的生活质量,而且是导致非复发性死亡的主要原因。目前,cGVHD的一线治疗主要依赖于糖皮质激素,然而,存在一定比例的患者对激素治疗不敏感或产生耐药性,这迫切需要开发二线治疗或更先进的治疗手段,以提高治疗效果并延长患者生存期。近年来,cGVHD的二线治疗取得了显著进展。例如,BTK抑制剂,ROCK2抑制剂等新药的相继开发与探索,特别是新上市的ROCK2抑制剂甲磺酸贝舒地尔,已在中国证实对糖皮质激素治疗失败的患者有效,且安全性良好,已被推荐为cGVHD二线治疗的选择之一。此外,间充质干细胞(MSC)治疗等新型治疗手段,因其在免疫调节方面的多维度和多靶点作用,也在cGVHD的预防和治疗中展现出潜力。临床医生在制定cGVHD治疗方案时,需综合考虑治疗效果与安全性,力求在有效控制病情的同时,最小化副作用。对于激素耐药的患者,个体化的治疗方案尤为重要。当前,国际上对于激素耐药cGVHD的二线治疗尚未形成统一标准,临床医生需根据患者的具体情况权衡利弊,制定最合适的治疗策略。
PI3Kδ抑制剂在cGVHD治疗中的机制基础
cGVHD的主要病理生理过程为免疫炎症反应,其发生机制涉及复杂的免疫调节过程,其中T细胞和B细胞的活化与增殖起着核心作用。PI3Kδ作为一种关键的信号分子,在T细胞和B细胞的信号传导中扮演着重要角色,因此,针对PI3Kδ的抑制剂可能对治疗cGVHD具有潜在的应用价值。PI3Kδ抑制剂主要通过阻断PI3Kδ的活性,进而影响T细胞和B细胞的活化、增殖和功能[2,3,4]。PI3Kδ信号在介导cGVHD的T、B细胞内的异常激活,该抑制剂可能在不显著影响全身免疫反应的同时,针对性地调节与cGVHD相关的病理性免疫反应。

图1. cGvHD的病理生理网络和靶向预防和治疗方法
目前,PI3Kδ抑制剂的研究主要集中在基础阶段,已有一些临床前模型研究报道了其对免疫细胞功能的影响。此外,针对PI3Kδ抑制剂的临床研究也正在开展中,但主要集中在其他疾病领域,如非霍奇金淋巴瘤、自身免疫性溶血性贫血以及与芦可替尼联合治疗骨髓纤维化等。这些研究可能为未来PI3Kδ抑制剂在cGVHD治疗中的应用提供重要的参考和经验。
PI3Kδ抑制剂治疗小鼠cGVHD活性显著
本届EBMT大会发布的基础研究,旨在探究PI3Kδ抑制剂在治疗cGVHD中的潜在疗效。在前期工作中,本研究团队已对多个cGVHD动物模型进行了广泛研究,包括以皮肤病变为主要表现的模型。在这些模型中,我们观察到PI3Kδ抑制剂在缓解皮肤慢性GVHD症状方面表现出显著效果。具体而言,PI3Kδ抑制剂不仅减少了动物的脱毛现象,而且在病理层面上显著减轻了免疫细胞的浸润。此外,随着治疗的进行,小鼠的整体状况得到了良好的维持。除了特异性皮肤cGVHD模型,我们还对类似全身性自身免疫性疾病的cGVHD模型进行了研究。在这一模型中,我们也发现PI3Kδ抑制剂能够显著延长小鼠的生存期。这一发现表明,PI3Kδ抑制剂可能对全身性的cGVHD病理过程具有积极的调节作用。
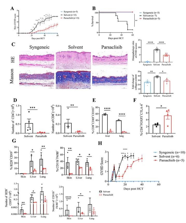
具体实验结果发现,次要组织相容性抗原不相合(B10.D2→BALB/c)的小鼠模型中,观察到了皮肤cGVHD和全身炎症反应。PI3Kδ抑制剂治疗显著降低了受者的皮肤cGVHD评分,并延长了总体生存期(图2A-B)。在移植后的第30天,与非GVHD(同基因移植)组相比,接受溶剂的受者(对照组)皮肤出现了炎症细胞浸润、胶原沉积和严重的脂肪萎缩。相比之下,接受PI3Kδ抑制剂治疗的受者显著减少了皮肤中的细胞浸润和胶原蛋白沉积(图2C)。此外,PI3Kδ抑制剂治疗可显著减少皮肤、肺和肝脏中的CD69+和CD103+的组织驻留记忆性T(TRM)细胞。更重要的是,PI3Kδ抑制剂治疗上调了Foxo1和Foxo3α的表达,促进了Foxp3的表达,并扩大了皮肤中稳定且高度抑制的调节性T细胞群体(图2F),这可能有助于抑制皮肤cGVHD。与对照组相比,接受PI3Kδ抑制剂治疗的受体中,皮肤、肝脏和肺中CD19+、B220+的B细胞和CD11b+、F4/80+的巨噬细胞的比例和数量显著减少(图2G);PI3Kδ抑制剂的疗效在主要组织相容性抗原不相合的GVHD模型中(C57BL/6→BALB/c)得到验证(图2H)。

图2. 实验结果数据分析
本研究结果显示,PI3Kδ抑制剂可以通过富集Treg细胞调节组织微环境,并同时抑制组织中的TRM细胞、B细胞和巨噬细胞,从而有效缓解了cGVHD。这些数据为PI3Kδ抑制剂治疗cGVHD患者提供了基础研究依据,可以作为未来临床研究探索的数据参考。
PI3Kδ抑制剂在血液疾病治疗领域前景广阔
目前新药研发是全球医药创新的核心,尤其是针对特定分子靶点的靶向治疗药物的开发,已经成为治疗多种疾病的前沿策略。在这一领域,BTK抑制剂、ROCK抑制剂等新型靶向药物因其在相关疾病治疗中展现的显著效果而受到医学界的广泛关注。
PI3K信号通路,作为细胞内重要的信号传导途径,在调控免疫细胞的激活、增殖和存活中发挥着关键作用,尤其是PI3Kδ亚型,因其在B细胞和T细胞信号传导中的特异性作用,已成为药物开发的重要靶点。
PI3Kδ抑制剂具有靶点高度选择性,能够有效阻断其介导的信号传导,从而在理论上减少对其他PI3K亚型及其相关生理过程的不良影响,这可能带来更小的副作用并提高治疗的安全性。同时PI3Kδ在多种免疫介导的疾病,包括某些血液肿瘤、自身免疫性疾病以及cGVHD中均扮演关键角色,因此,PI3Kδ抑制剂可能具有广泛的治疗适应症,为多种疾病的治疗提供新的策略。
PI3Kδ在T细胞和B细胞的发育、激活和功能中具有重要作用,这使得PI3Kδ抑制剂可能在需要精细调节免疫反应的治疗中,如cGVHD,发挥特别的疗效。通过调节免疫细胞的信号传导,PI3Kδ抑制剂可能有助于控制病理性免疫反应,减轻症状,并提高患者的生存质量。而且基于临床前研究的积极结果,PI3Kδ抑制剂显示出向临床转化的巨大潜力。当前,多项临床试验正在评估PI3Kδ抑制剂在不同疾病中的治疗效果,这些研究的结果将为PI3Kδ抑制剂的临床应用提供重要依据。
随着个体化医疗的发展,未来的治疗策略将更加注重根据患者的遗传背景、疾病特征和治疗反应来定制个性化的治疗方案。PI3Kδ抑制剂的开发和应用有望与这一趋势相契合,为患者提供更为精准的治疗选择。
尽管PI3Kδ抑制剂在新药研发中展现出巨大的潜力,但它们的临床应用仍需通过一系列严格的临床试验来验证其在人体中的安全性、有效性、药代动力学特性和最佳用药方案。此外,深入研究PI3Kδ在不同疾病中的角色,以及探索与其他药物的联合使用策略,将进一步扩展PI3Kδ抑制剂的临床应用范围,并为患者带来更有效的治疗选择。随着研究的不断深入,我们有理由期待PI3Kδ抑制剂将在未来的医药领域中扮演重要角色,为患者提供更加安全有效的治疗方案。
总体来看,临床前研究结果为PI3Kδ抑制剂在cGVHD治疗中的应用提供了有力的实验依据。然而,要将这些研究成果转化为临床实践,还需要进一步开展更为深入的机制研究和临床试验,以验证PI3Kδ抑制剂在人类cGVHD患者中的安全性、有效性和最佳用药策略。未来,我们期待通过持续的研究努力,能够为cGVHD患者提供更为有效、安全的治疗选择。
参考文献:(上下滑动查看更多)
[1] Yuxi Xu, Guancui Yang, et al. 2024 EBMT. Abstract OS7-05.
[2] Broccoli A, Zinzani P L. Phosphatidyl-inositol 3-kinase inhibitors in the treatment of T-cell lymphomas[J]. Annals of Lymphoma, 2018, 2(1).
[3] Chandrasekaran S, Funk C R, Kleber T, et al. Strategies to Overcome Failures in T-Cell Immunotherapies by Targeting PI3K-δ and–γ[J]. Frontiers in immunology, 2021, 12: 718621.
[4] Buxbaum N P, Socié G, Hill G R, et al. Chronic GvHD NIH consensus project biology task force: Evolving path to personalized treatment of chronic GvHD[J]. Blood Advances, 2023, 7(17): 4886-4902.
专家简介
宋清晓 教授
陆军军医大学第二附属医院(新桥医院)血液病医学中心、研究员重庆市医师协会血液科医师分会委员
美国血液学协会会员
Blood & Genomics杂志编委
主要研究方向为造血干细胞移植的基础及临床转化研究
获“新重庆引才计划创新基地专项
”主持国自然青年基金一项,重庆市创新发展联合基金一项,重庆市科卫联合重点项目一项,研究的主要成果发表在Blood、Journal of Clinical Investigation、Nature Communications、PNAS、American Journal of Transplantation等本领域权威期刊上,其中第一作者7篇,通讯作者2篇。